Método rápido
BlanqueamientoDental
Recupere el brillo de su sonrisa con nuestro blanqueamiento láser avanzado, logrando resultados visibles en una sola sesión de forma segura.
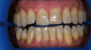
Before
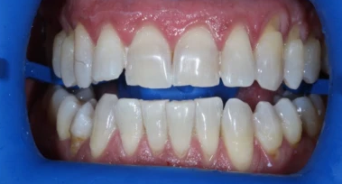
After
Patients Teeth Before & After Teeth Whitening
